脑器交互(Brain-Apparatus Communications)

尧德中 教授

发布时间:2019-09-06

1567777352339692.jpg

Education
  • PhD-1, 1991, Applied Geophysics, Chengdu University of Technology, China

  • PhD-2, 2005, Biomedical Science, Aalborg University, Denmark

Professions
  • Full Professor, 1995-

  • Director, 2009-, Key Lab for NeuroInformation, Ministry of Education (MOE), China(2009-) (www.neuro.uestc.edu.cn)

  • Director, 2013-, Int Joint Research Center for NeuroInformation, Ministry of Science and Technology (MOST), china

  • Director, 2013-,the Innovative Talent introduction Base for Neuroinformation (雷竞技电脑 project), State Bureau of Foreign Affairs (SBFA)

  • Dean and founder, 2011.11-2017.12, School of Life Science and Technology, University of Electronic Science and Technology of China (UESTC)

  • Director, 2014.7-, Center for Information in Medicine, UESTC (http://www.cim.uestc.edu.cn/)

  • Dean and Founder, 2018.12-, Sichuan Institute for Brain Science and Brain-Inspired Intelligence (SCIBrain)(scibrain.uestc.edu.cn)

Services for International Journals (Editors)
  • Brain Topography (Editorial Board Member,2018-)

  • IEEE Trans NSRE (Associate Editor,2018-)

  • Physiol Measurement (Advisory board Member,2018-)

  • Plos One (Academic Editor,2015-2018)

  • Frontiers in Computational Neuroscience (Associate Editor, 2018-)

  • Frontiers in Neuroscience(Review editor, brain imaging methods,2015-)

  • Physics in Medicine and Biology (Advisory Board Member, 2002-2006)

Services for Domestic/International Scientific Societies
  • Vice-Chairman of the Chinese Society of Biomedical Engineering(2015-)

  • Member of the council of the Chinese Society of Cognitive Science(2013-)

  • Chairman of the council of the Sichuan Society of Cognitive Science(2015-)

  • Board Member of the International Society for Brain Electromagnetic Topography( ISBET) (http://www.isbet.info/index.php/executive-board

  • International Scientific Committee of the 19th WORLD CONGRESS OF PSYCHOPHYSIOLOGY Lucca | Italy September 4 - 8 | 2018 (https://iopworld.wildapricot.org/iop18-committees

  • Chairman of the 20th WORLD CONGRESS OF PSYCHOPHYSIOLOGY (2020, chengdu)

Honors and Awards
  • Electroencephalography and Clinical Neuroscience Society, Roy John Award "for his impressive and influential contributions to electrophysioology Research"(http://www.ecnsweb.org/awards.htm, 2018)

  • Fellow of the American Institute of Medical and Biological Engineering (AIMBE) ( "for outstanding contributions to biophysical and mathematical models of the EEG and fMRI and educational infrastructure development",2017)(https://aimbe.org/college-of-fellows/cof-2220/)

  • Listed in Elsevier "Most Cited Chinese Researchers" from 2014 to 2018

  • National Excellent Teachers of MOE (2010)

  • First class Natural Science Award ( Ministry of Education(MOE), 2010)

  • Excellent Post Doctor, Sichuan Province, 2006

  • Excellent University Key Teacher, Ministry of Education, 2002

  • Top Ten University Youth Teacher, Sichuan Province, 2001

  • Outstanding Youth Research Fund, Sichuan Province, 2001

Research Interests
  • Multi-modal imaging (EEG, MRI, and simultaneous EEG-fMRI) methods

  • Brain-Apparatus Conversation (Bacomics): music-brain,brain-computer (BCI),brain-video game,brain-body conversation

  • Brain diseases: epilepsy, schizophrenia, aging and AD

  • Neurodata(big data) and Neuro-computational model (Brain-inspired AI)

Publications
Main Contributions

Which reference is appropriate for the scalp ERP and EEG studies? This unsettled problem still inspires unceasing debate. The ideal reference should be the one with zero or constant potential but unfortunately it is well known that no point on the body fulfills this condition. Consequently, more than ten references are used in the present EEG-ERP studies. This diversity seriously undermines the reproducibility and comparability of results across laboratories. In 2001, we provided a new technique: the reference electrode standardization technique (REST) which may result in an approximate zero reference, and it has been confirmed repeatedly being the most competitive unipolar reference when compared with the popular average reference (AR), and linked-mastoids/ears reference (LM).

Yao D (2001) A method to standardize a reference of scalp EEG recordings to a point at infnity. Physiol Meas 22:693–711.https://doi.org/10.1088/0967-3334/22/4/305

Dong L, Li F, Liu Q et al (2017) MATLAB toolboxes for reference electrode standardization technique (REST) of Scalp EEG. Front Neurosci.https://doi.org/10.3389/fnins.2017.00601

Yao D, Qin Y, Hu S, Dong L, Maria L. Bringas Vega, Pedro A. Valdés Sosa. Which Reference Should We Use for EEG and ERP practice? Brain Topography,https://doi.org/10.1007/s10548-019-00707-x(2019) (download free)


Simulation: same neural activities, different recordings when different references are adopted, and only REST with baseline close to constant zero.

  • NeuroPhysics of EEG

Yao DZ (2000a) Electric potential produced by a dipole in a homogeneous conducting sphere. IEEE Trans Biomed Eng 47:964–966.https://doi.org/10.1109/10.846691

Yao D, He B (2003) Equivalent physical models and formulation of equivalent source layer in high-resolution EEG imaging. Phys Med Biol 48:3475–3483.https://doi.org/10.1088/0031-9155/48/21/002

Yao D (2017) Is the surface potential integral of a dipole in a volume conductor always zero? A cloud over the average reference of EEG and ERP. Brain Topogr 30:161–171.https://doi.org/10.1007/s10548-016-0543-x(download free)

Potential anywhere inside the sphere can be precisely calculated (Yao,2000).

  • EEG Inverse Problem

Yao D, He B. A self-coherence enhancement algorithm and its application to enhancing three-dimensional source estimation from EEGs . Annals of Biomedical Engineering, 29(11)(2001), 1019 -1027.

Xu P, Tian Y, Chen H, Yao D. Lp norm iterative sparse solution for EEG source localization. IEEE Transactions on Biomedical Engineering, 54(3)(2007), 400-409.
Zhang J, Raij T, Hamalainen M, Yao D. MEG source localization using invariance of noise space. PLo S One, 8(3)(2013), e58408 .

P Xu, Y Tian, X Lei, D Yao. Neuroelectric source imaging using 3SCO: A space coding algorithm based on particle swarm optimization and l0 norm constraint. NeuroImage 51 (1), 183-205,2010

JC Bore, C Yi, P Li, F Li, DJ Harmah, Y Si, D Guo, D Yao, F Wan, P Xu. Sparse EEG Source Localization Using LAPPS: Least Absolute lP (0< p< 1) Penalized Solution. IEEE Transactions on Biomedical Engineering10.1109/TBME.2018.2881092

The first L0 norm EEG inverse approach (Xu etal, NeuroImage, 2010)

  • Brain-apparatus conversation (Bacomics)

(a) Brain and computer

Liao X,Yao D, Wu D,Li C. Combining spatial filters for the classification of single-trial EEG in a finger movement task.IEEE Trans BME, 54(5) (2007), 821-830

Wu Z,Yao D. Frequency detection with stability coefficient for steady- state visual evoked potential (SSVEP) -based BCIs. Journal of Neural Engineering, 5(1) (2008), 36 -43.

Lei X, Yang P, Yao D. An Empirical Bayesian Framework for Brain Computer Interfaces. IEEE Trans NSRE, 17(6) (2009), 521-529 (cover paper)

Zhang Y, Xu P, Cheng K, Yao D. Multivariate synchronization index for frequency recognition of SSVEP -based brain – computer interface . Journal of Neuroscience M ethods , 221( 2014), 32 -40.

Yangsong Zhang, Erwei Yin, Fali Li, Yu Zhang, Toshihisa Tanaka, Qibin Zhao, Yan Cui, Peng Xu, Dezhong Yao, Daqing Guo. Two-stage frequency recognition method based on correlated component analysis for SSVEP-based BCI. IEEE Transactions on Neural Systems and Rehabilitation Engineering 26 (7), 1314 – 1323, 2018

(b) Brain and Music, dance

http://www.neuro.uestc.edu.cn/brainmusic.html

说明: Figure 1

The EEG waveform (upper) is translated into music MIDI (lower) (Wu etal,2009)

D Wu, CY Li, DZ Yao.Scale-free music of the brain,PloS one 4 (6), e5915,2009

Yang, H He, Duan, X Chen, X Chang, Y Lai, J Li, T Liu, C Luo, D Yao. The effects of music intervention on functional connectivity strength of the brain in schizophrenia. Neural plasticity 2018

H He, Yang, Duan, X Chen, Y Lai, Y Xia, J Shao, C Luo, ... Music intervention leads to increased insular connectivity and improved clinical symptoms in schizophrenia. Frontiers in neuroscience 11, 744,2018

G Li, H He, Huang, X Zhang, J Lu, Y Lai, C Luo, D Yao. Identifying enhanced cortico-basal ganglia loops associated with prolonged dance training. Scientific reports 5, 10271,2015

J Lu, H Yang, H He, S Jeon, C Hou, AC Evans, D Yao. The multiple-demand system in the novelty of musical improvisation: evidence from an MRI study on composers. Frontiers in neuroscience 11, 695,2017

(c) Brain and video games

D Gong, W Ma, J Gong, H He, L Dong, D Zhang, J Li, C Luo, D Yao. Action video game experience related to altered large-scale white matter networks. Neural plasticity 2017

D Gong, H He, W Ma, D Liu, M Huang, L Dong, J Gong, J Li, C Luo, D Yao. Functional integration between salience and central executive networks: a role for action video game experience. Neural plasticity 2016

D Gong, H He, D Liu, W Ma, L Dong, C Luo, D Yao. Enhanced functional connectivity and increased gray matter volume of insula related to action video game playing. Scientific reports 5, 9763, 2015

N Qiu, W Ma, X Fan, Y Zhang, Y Li, Y Yan, Z Zhou, F Li, D Gong, D Yao. Rapid Improvement in Visual Selective Attention Related to Action Video Gaming Experience. Frontiers in human neuroscience 12, 47,2018

  • Multi-modal imaging and epilepsy、 schizophrenia、aging (AD)

Lei X. ,Qiu C. ,X u P.,Yao D. A parallel framework for simultaneous EEG/fMRI analysis: Methodology and simulation. NeuroImage,52(3)( 2010),1123 -1134.

X Lei, P Xu, C Luo, J Zhao, D Zhou, D Yao. fMRI functional networks for EEG source imaging.Human brain mapping 32 (7), 1141-1160, 2011 (cover paper)

Li Dong, Diankun Gong, Pedro A Valdes-Sosa, Yang Xia, Cheng Luo, Peng Xu, Dezhong Yao. Simultaneous EEG-fMRI: Trial Level Spatio-Temporal Fusion for Hierarchically Reliable Information Discovery. NeuroImage, 2014 , 99 , 28 -41.

Dong L., Zhang Y., Zhang R., Zhang X., Gong D., Pedro A. Valdes-Sosa, Xu P ., Luo C., Yao D. Characterizing nonlinear relationships in functional imaging data using eigenspace maximal information canonical correlation an alysis (emiCCA ). NeuroImage, 2015 ,1-20

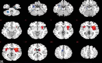
C Luo, Q Li, Y Xia, X Lei, K Xue, Z Yao, Y Lai, W Liao, D Zhou, PA Valdes Sosa, QY Gong, D Yao. Resting state basal ganglia network in idiopathic generalized epilepsy.Human brain mapping 33 (6), 1279-1294,2012

Yuchao Jiang, Cheng Luo, Xuan Li, Yingjia Li, Hang Yang, Jianfu Li, Xin Chang, Hechun Li, Huanghao Yang, Jijun Wang, Mingjun Duan, Dezhong Yao. White-matter functional networks changes in patients with schizophrenia. NeuroImage, 2019,172-181

D Dong, M Duan, Y Wang, X Zhang, X Jia, Y Li, F Xin, D Yao, C Luo .Reconfigurationof dynamic functional connectivity in sensory and perceptual system in schizophrenia, Cerebral Cortex, 2018.

Y Jiang, C Luo, X Li, M Duan, H He, X Chen, H Yang, J Gong, X Chang, ... Progressive reduction in gray matter in patients with schizophrenia assessed with MR imaging by using causal network analysis. Radiology 287 (2), 633-642, 2018

Basal ganglia may have an important role in modulating generalized epilepsy(Luo etal, HBM, 2012)


  • Neural computational Modeling

M Chen, D Guo, T Wang, W Jing, Y Xia, P Xu, C Luo, PA Valdes-Sosa, D Yao. Bidirectional control of absence seizures by the Basal Ganglia: a computational evidence. PLoS Computational Biology 03/2014; 10(3):e1003495

M Chen, D Guo, M Li, T Ma, S Wu, J Ma, Y Cui, Y Xia, P Xu, D Yao. Critical roles of the direct GABAergic pallido-cortical pathway in controlling absence seizures.PLoS computational biology 11 (10), e1004539,2015

S Wu, Y Zhang, Y Cui, H Li, J Wang, L Guo, Y Xia, D Yao, P Xu, D Guo. Heterogeneity of synaptic input connectivity regulates spike-based neuronal avalanches. Neural Networks 110, 91-103, 2018

D Guo, M Perc, T Liu, D Yao. Functional importance of noise in neuronal information processing. EPL (Europhysics Letters) 124 (5), 50001,2018

A new framework for generalized epilepsy: basal ganglia-cortico-thalamic network for absence epilepsy (Cheng etal, 2014)


  • Brainformatics/Neuroinformatics(platform for neuroinformation processing)

(1)WebBrain

www.webrain.uestc.edu.cn

Web based neural computation, neuro-signal processing

(2)Zero-reference (REST) free software

www.neuro.uestc.edu.cn/rest/

(3)Software for information fusion of simultaneous EEG and fMRI

www.neuro.uestc.edu.cn/NIT.html


Lab and Lab Members
Contact and Mail address

Dezhong Yao

School of Life Science and Technology,
University of Electronic Science and Technology of China
ChengDu City 611731
P.R China
Email:
dyao@uestc.edu.cn
Tel: 86-28-61830654(o) Fax:86-28-83208238

Information in Chinese

More Other

Information

Educations

  • http://www.cqnc.gov.cn/
    1972.9-1978.1 Xinyuan elementary school, Nanchuan, Chongqing,China.
    1978.3-1979.7 Qianfeng elementary school, Nanchuan, Chongqing,China.
    1979.9-1981.7 Nanchuan high School, Nanchuan, Chongqing,China.

  • http://www.swu.edu.cn/
    1981.9-1985.7 Bachelor in Physics at Southwest University, Chongqing, China.

  • http://www.zju.edu.cn/

    1985.9-1988.7 Master in Soil Science at Zhejiang University, Hangzhou, China.

  • http://www.cdut.edu.cn/

    1988.9-1991.7 PhD in Applied Geophysics at Chengdu University of Technology, Chengdu, China.

  • http://www.aau.dk/

  • 2004.3-2005.11 PhD (part time) in Medical Science and Engineering at Aalborg University, Denmark.

Professions

  • 1991.09-1993.05 Post Doctor in Microwave Engineering at UESTC, Chengdu, China

  • 1993.06-1995.05 Associate Professor at UESTC

  • 1995.06-Professor at UESTC

  • 1997.09-1998.08 Visiting Scholar at EECS of University of Illinois At Chicago, USA

  • 1999.02-1999.07 Visiting Scholar at the Beijing Cognitive Lab, Academy of China.

  • 2000.11-2001.04 Visiting Professor at Department of Psychology, McMaster University, Canada.

  • 2001.11-2017.12 The dean of the School of Life Science and Technology, UESTC, China.

  • 2003.11-2004.02 Visiting Professor at Department of Health Science and Technology, Aalborg University, Denmark.

  • 2006- Cheung Kong Professor ( Changjiang Scholar Professor, MOE)

Previous

Lab Members

  • Hosted Post Doctors: Yuan Li, Zhijie Zhang, Jing Hu, Yanzhang Li,Antao Chen,Yin Tian,Yanling Liu….

  • GraduatedPhD: Ting Fu, Huafu Chen, Yongjie Li, Yiran Zhai, Peng Xu, Qun zhou, Hongchuan Xiong, Ling Li, Yongxiu Lai, Tiejun Liu, Ling Wang, Zhenghua Wu, Gang Yin, Guangzhan Fang, Yin Tian, Ling Zeng, Qing Gao, Ke Li, Linnan Yang, Yu Yin, Xinyu Du, Dan Wu, Xu Lei, Junpeng Zhang, Yangsong zhang, Kaiqing Xue, Xi Chen, Weifang Cao, Jiehui Hu, Shan Gao, Mi Yang, Teng Ma. Gujing Li, Jinnan Gong, Hui He, Mingjun Duan …




Baidu
map