1,UESTC-COVID-19 Dataset [Downlaod]

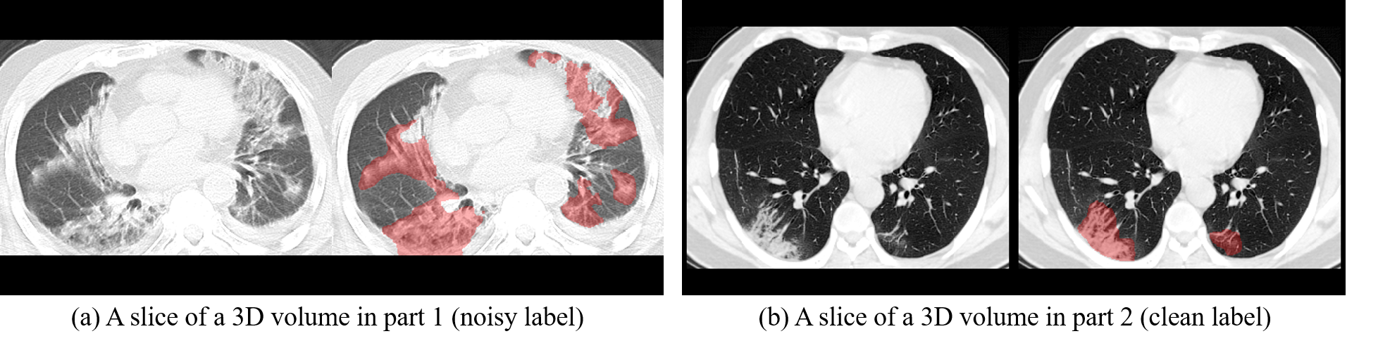
This dataset contains CT scans (3D volumes) of 120 patients diagnosized with COVID-19. It was constructed for the purpose of pneumonia lesion segmentation. It contains two parts: 1) Part 1 consists of 70 volumes where lesion regions were annotated by non-experts and the lesion labels contain some noise. 2) Part 2 consists of 50 volumes where leions were annotated by experts, and the labels can be seen as clean. References:
Guotai Wang, Xinglong Liu, Chaoping Li, Zhiyong Xu, Jiugen Ruan, Haifeng Zhu, Tao Meng, Kang Li, Ning Huang, Shaoting Zhang. “A Noise-robust Framework for Automatic Segmentation of COVID-19 Pneumonia Lesions from CT Images.”IEEE Transactions on Medical Imaging, 39, no. 8(2020): 2653 - 2663.
Shuojue Yang, Guotai Wang*, Hui Sun, Xiangde Luo, Peng Sun, Kang Li, Qijun Wang, Shaoting Zhang. “Learning COVID-19 Pneumonia Lesion Segmentation from Imperfect Annotations via Divergence-Aware Selective Training”.IEEE Journal of Biomedical and Health Informatics (JBHI), 26, no. 8 (2022): 3673-3684.
2,WORD Dataset [Downlaod]

This dataset contains 150 abdominal CT volumes. Each volume has 16 organs with fine pixel-level annotations and scribble-based sparse annotations. It can be used for study of automatic segmentation algorithms with fully supervised learning, semi-supervised learning and weakly supervised learning. References:
Xiangde Luo, Wenjun Liao, Jianghong Xiao*, Jieneng Chen, Tao Song, Xiaofan Zhang, Kang Li, Dimitris N. Metaxas, Guotai Wang*, Shaoting Zhang*.
WORD: A large scale dataset, benchmark and clinical applicable study for abdominal organ segmentation from CT image.Medical Image Analysis, 82 (2022): 102642
Meng Han, Xiangde Luo, Xiangjiang Xie, Wenjun Liao, Shichuan Zhang, Tao Snog, Guotai Wang*, Shaoting Zhang*.DMSPS: Dynamically Mixed Soft Pseudo-label Supervision for Scribble-Supervised Medical Image Segmentation.Medical Image Analysis, 97, October (2024): 103274.
3,RAOS Dataset [Downlaod]

This dataset consists of 413 real clinical CT scans for segmentation of 19 abdominal organs. It includes a lot of challenging cases from patients with cancers after treatment, where some organs may be partially or totally resected after surgery. This dataset is meaningful for evaluating the generalization and robustness of deep learning methods.References:
Xiangde Luo, Zihan Li, Shaoting Zhang, Wenjun Liao, Guotai Wang*. Rethinking Abdominal Organ Segmentation (RAOS) in the clinical scenario: a robustness evaluation benchmark with challenging cases,MICCAI, pp. 521-541, 2024
4,SegRap Dataset [Downlaod]

This isa large-scale benchmark for OAR and GTV segmentation with 400 Computed Tomography (CT) scans from 200 NPC patients, each with a pair of pre-aligned non-contrast and contrast-enhanced CT scans. It aimes to segment 45 OARs and 2 GTVs from the paired CT scans per patient. Reference:
Xiangde Luo, Jia Fu, ..., Shichuan Zhang, Wenjun Liao, Guotai Wang*, Shaoting Zhang* SegRap2023: A Benchmark of Organs-at-Risk and Gross Tumor Volume Segmentation for Radiotherapy Planning of Nasopharyngeal Carcinoma.Medical Image Analysis, 101,April (2025): 103447.
